• 厦门眼科在线咨询
  • 厦门眼科自助预约
  • 厦门眼科掌上医院
厦门眼科热线电话
厦门眼科二维码
扫描二维码关注微信
扫码入群立即咨询
扫码入群立即咨询
厦门眼科公益活动
公益活动专栏

厦门眼科中心:从眼睛发现的健康警报,罕见眼病背后竟藏早期肺癌

时间:2025-12-12 14:13来源:厦门眼科中心编辑:cyx浏览:

【文章导读】近日,厦门眼科中心眼底病科凭借前沿诊疗技术与跨学科协作能力,从一个看似普通的视力下降病例中,意外帮助一名水泥厂工人发现了潜伏的早期肺癌。这个案例不仅展现了眼科与全

近日,厦门眼科中心眼底病科凭借前沿诊疗技术与跨学科协作能力,从一个看似普通的“视力下降”病例中,意外帮助一名水泥厂工人发现了潜伏的早期肺癌。这个案例不仅展现了眼科与全身疾病间的密切关联,更为高危职业人群敲响健康防护的警钟。

视力突然下降,原因竟不在眼睛 

54岁的老李(化名)是一名水泥厂工人,长期与粉尘为伴且每日吸烟超20支。两周前,他突然出现双眼视力模糊,左右眼视力均降至0.5,辗转当地医院全身检查并治疗一周无果后,果断来到厦门眼科中心。
经详细检查,老李的眼睛只有轻微白内障,并没有其他明显问题。这引起了眼底内科龚颂建主任的警惕:视力下降原因可能不在眼睛本身,而是身体其他疾病的信号。结合老李的职业环境和吸烟史,龚主任为他安排了一项专项血液检测,结果证实他患上了一种罕见的与肿瘤相关的眼病——副肿瘤性自身免疫性视网膜病变(pAIR)。  
 
眼底病

精准锁定npAIR特征,抽丝剥茧辨病因

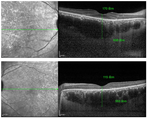
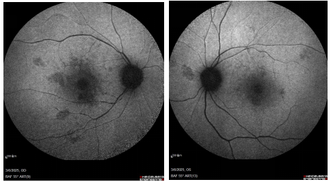
pAIR是一种罕见的特殊类型的自身免疫性视网膜病变,这种眼病通常与身体其他部位的肿瘤有关,是免疫系统异常攻击视网膜导致的。龚颂建主任团队通过超广角眼底成像、自发荧光检测等先进技术,发现老李双眼存在外层视网膜萎伴相对黄斑中心凹保留的特征性改变,同时观察到黄斑周围高自发荧光区域夹杂有低自发荧光斑点。这些精细的影像学证据为pAIR的诊断提供了关键依据。
视网膜病变

长期粉尘接触+吸烟,肺癌风险高 

尽管pAIR通常与肿瘤无直接关联,但龚颂建主任综合分析患者情况后指出:“患者长期接触水泥粉尘、重度吸烟,肺癌风险极高,仍需高度警惕副肿瘤综合征可能。”在其坚持下,老李转至外院进行肺部深度筛查。果不其然,经肺部增强CT及支气管活检,最终确诊为早期小细胞肺癌。目前老李已转入肿瘤专科治疗,因发现及时,病情尚处于可控阶段。  
视网膜病变

医生提醒:这些人群要特别关注眼睛与肺部健康

龚颂建主任特别呼吁:  
长期接触粉尘、化学品或吸烟者,如果出现不明原因的视力下降、视物变形,应警惕是否与全身性疾病有关;
建议高危职业人群每年同时进行眼底检查和肺部CT筛查,实现早发现、早治疗;
工作中务必做好防护,规范佩戴防尘口罩和护目镜,减少职业伤害。
眼睛异常,也许是身体发出的求救信号。定期检查,做好防护,健康从细节开始。

扫描二维码关注厦门大学附属厦门眼科中心微信

扫描二维码入群获取更多眼科资讯