• 厦门眼科在线咨询
  • 厦门眼科自助预约
  • 厦门眼科掌上医院
厦门眼科热线电话
厦门眼科二维码
扫描二维码关注微信
扫码入群立即咨询
扫码入群立即咨询
厦门眼科公益活动
公益活动专栏

糖尿病视网膜病变被宣判“死刑”后,60岁失明华人靠AI指路求医获光明。王晓波主任提醒……

时间:2026-03-25 11:23来源:厦门眼科中心编辑:cyx浏览:

【文章导读】今年60岁的老王(化姓),定居澳洲多年。近十余年来,他一直备受糖尿病的困扰,血糖控制始终不理想,甚至还因此发生过酮症酸中毒。而最让他备受打击的,是视力的急剧衰退。 两

今年60岁的老王(化姓),定居澳洲多年。近十余年来,他一直备受糖尿病的困扰,血糖控制始终不理想,甚至还因此发生过酮症酸中毒。而最让他备受打击的,是视力的急剧衰退。
 
两年前,他的左眼已完全失明,右眼也仅存微弱视力;半年前,连这仅有的右眼视力也骤然下降,看东西愈发模糊,生活已无法自理。就诊后,当地医院直接宣判“死刑”——眼部病情过于复杂且严重,已无治疗意义。
 

AI献策,千里跨洋寻医

 
彼时,人工智能在医疗领域的应用日益广泛。抱着试一试的心态,老王的家人将他的眼部症状及检查报告输入AI系统,很快得到了明确建议,并推荐了国内在眼底领域较为专业的医院及相关医生,厦门眼科中心眼底病科执行主任王晓波主任医师名列其中。AI的建议让老王重燃希望,他毅然决定回国求诊。
 
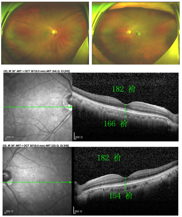
作为深耕眼科领域20余年的专家,王晓波主任擅长复杂糖尿病视网膜病变的诊断与治疗,临床经验极为丰富。接诊后,他为老王进行了全面细致的检查,发现老王双眼视力确实极差——右眼仅剩眼前指数,左眼仅剩手动指数,但眼底病变情况并未到无法挽救的程度;此外,他还合并有双眼老年核性白内障,这也是导致他进一步加剧视力下降的原因之一。
 
糖尿病视网膜病变
老王双眼术前眼底检查
 
“别灰心,好好配合治疗,你还是有很大机会能恢复部分视力的。”王晓波主任的话像一颗定心丸,让老王悬着的心得以放松。在医生的指导下,老王先积极稳定血糖,为后续治疗打下坚实基础,随后多次转机重返厦门眼科中心办理入院,准备接受针对性治疗。
 
 

精准术式施治,破解复明难题

 
结合老王的病情、糖尿病病史及既往近视手术史,王晓波主任团队为他制定了个性化治疗方案——双眼先后进行飞秒激光白内障手术联合抗VEGF治疗,兼顾白内障摘除与眼底病变控制,实现“一站式”解决眼部问题。
 
王晓波主任
 
作为福建省开展玻璃体视网膜手术早、规模大、设备先进的科室,厦门眼科中心眼底病专科配备了“真·血流”扫频OCT、数字导航3D手术显微镜等高精尖设备,拥有专业的诊疗团队,为手术的顺利开展提供了坚实保障。在王晓波主任的亲自主刀下,手术过程微创、无痛,最大程度保护了老王的眼底组织。
 

视力稳步回升,光明如期而至

 
术后恢复超出预期。术后第2天,当拆开眼部敷料的那一刻,老王惊喜地发现,眼前的世界变得清晰起来。经检查,他的右眼矫正视力恢复到0.3,左眼矫正视力恢复到0.5,终于摆脱了“眼前一片黑蒙”的困境。
 
王晓波主任告知老王:术后复查眼底显示,其糖尿病视网膜病变并不严重,因此视力得以得到明显改善与提升。当初坚持治疗、不轻言放弃,是非常正确的选择!
 
术后半个月复查时,视力恢复情况更是喜人:左眼矫正视力达到1.0,右眼也恢复到0.8,不仅能清晰看清事物,甚至能正常阅读、看电视,基本恢复了正常生活。
 
糖尿病视网膜病变
 
“真的太感谢王晓波主任,感谢厦门眼科中心,是你们给了我第二次光明!”复查时,老王激动地说道,眼中满是感激。
 
王晓波主任提醒:虽然当前视力恢复良好,眼底病情也得到了控制,但是后续一定要好好控制血糖,否则眼底病变还可能卷土重来。
 

早筛早治,别让糖尿病偷走你的视力

 
糖尿病对眼睛的伤害往往是悄无声息却致命的。
 
长期高血糖会损伤视网膜血管,导致血管壁变脆、渗漏,甚至闭塞,引发视网膜缺血、缺氧,进而诱发异常新生血管生长。这些新生血管极易破裂出血,形成玻璃体积血;反复出血后形成的纤维瘢痕组织还会牵拉视网膜,最终导致视网膜脱离。
 
这一系列病变统称为“糖尿病视网膜病变”(简称“糖网”),是中老年人致盲的主要原因之一。早期可能无明显症状,但随着病情进展,视力会逐渐下降,甚至突发失明。
 
特别提醒:  由于部分地区医疗水平有限,有时医生可能无法准确评估病情或提供有效治疗,导致患者错失良机甚至放弃希望。
 
王晓波主任强调:即使到了糖网中晚期,只要接受规范化的专业治疗,仍有可能挽回部分视力。糖尿病患者应定期进行眼底检查,早发现、早干预,是守护光明的关键。

扫描二维码关注厦门大学附属厦门眼科中心微信

扫描二维码入群获取更多眼科资讯